昆明医科大学第三附属医院胸外一科开展省内首例C臂CT联合Lung pro引导支气管镜下经肺实质建立隧道肺结节诊疗

近日,昆明医科大学第三附属医院胸外一科气管镜室成功开展云南省首例Cios Spin移动式C臂CT联合Lung pro引导支气管镜下经肺实质建立隧道肺结节取材活检及消融术,为不能手术的肺癌患者提供治疗新选择。

患者尹某,8年前因左肺上叶腺癌在外院行外科手术切除,术后7个月发现右肺下叶背段结节,定期进行复查。2026年2月来院复查时,发现右肺结节较之前不断增大,恶性可能性大,淋巴结增大建议复查。收治患者后,胸外一科黄云超教授带领团队依据检查结果,开展多学科会诊。其间,专家团队结合患者既往肺切除史、慢性肺阻塞(COPD)、心肺功能较差等情况,认为再行外科手术风险较高。同时考虑到结节为中央型结节,边缘有血管伴行,经皮穿刺风险较大,而经气管镜在导航引导下建立隧道可巧妙避开血管安全抵达结节,决定先行经电子超声支气管镜针吸活检术(EBUS-TBNA),排除淋巴结转移以后再行支气管镜下经肺实质建立隧道肺结节活检及消融术。

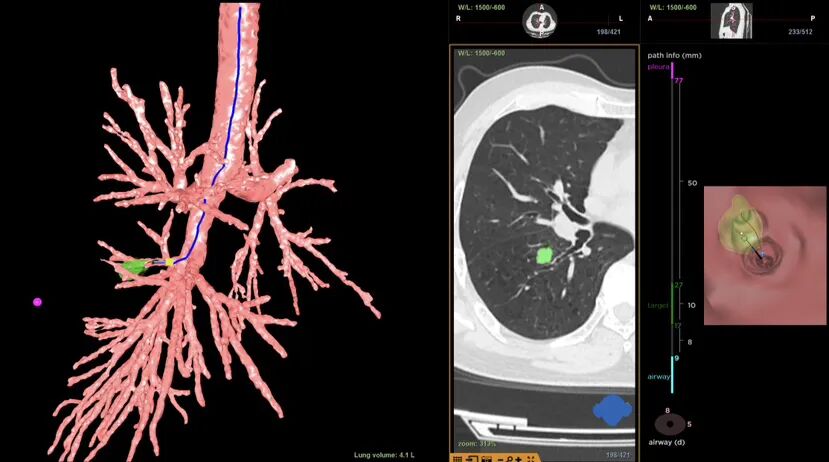
前Lung pro规划路径

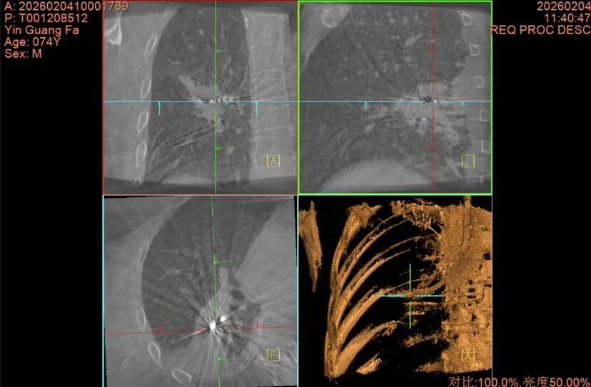
术中C臂CT影像


术前,团队进行了充分的准备,用气道内的“GPS”虚拟导航系统(Lung pro)规划出抵达病灶的最优路径。

术中,团队在患者全麻插管状态下先行EBUS-TBNA,并通过现场细胞学评估排除淋巴结转移可能,同时取出组织送病理确诊,确认患者具有接受射频消融手术的指征。随后,团队使用细支气管镜经支气管建立肺实质抵达结节隧道,并经C臂CT及径向超声确认到达结节后,取材进行活检,经过现场细胞学评估结节为恶性细胞。组送病理再次确诊后,团队决定立即行射频消融,消融过程中利用C臂CT实时观察消融范围及探针位置。

手术过程顺利,患者术后无并发症。术后48小时复查CT时,发现消融范围全覆盖病灶并及周围1cm正常组织处,消融效果满意。此次麻醉手术科与胸外一科气管镜室团队协作,实现了安全微创诊疗。目前,该患者已出院。

此次成功实施Cios Spin移动式C臂CT联合Lung pro引导支气管镜下经肺实质建立隧道肺结节取材活检及消融术,为肺结节患者提供了实时定位、取材、确诊及消融的相关诊疗,体现了肺结节一体化诊疗理念,为早期肺癌、多发性肺癌、术后局部复发、肺转移灶、因高龄及心肺功能较差不能接受或耐受的外科切除的患者提供新选择。

------------------------------------ 

什么是射频消融

射频消融(Radiofrequency Ablation,RFA)是通过射频波激发组织细胞内水分子、蛋白质分子等极性分子进行等离子震荡产生热量,进而灭活局部肿瘤细胞。

既往研究显示,高频率射频波引起的离子相互摩擦产生热量达到60℃~100℃,肿瘤组织即刻发生蛋白质凝固,其胞质内酶结构、线粒体酶结构、核酸组蛋白复合体受到不可逆的破坏。射频输出加热局部肿瘤组织,使其发生凝固性坏死,从而达到局部消除肿瘤和防止肿瘤种植的效果,已成为早期原发性肺癌和部分转移性肿瘤的有效治疗手段。


联系方式

  • 联系地址:昆明市呈贡区雨花街道春融西路1168号
  • 联系电话:0871-65922555  联系邮编:650500
关注微信公众号
关注新浪微博
Copyright (c) 2007-2024  昆明医科大学  滇ICP备05001248号-2
滇公网安备 53011402000299号